New Delhi: In an unusual case, doctors in Bengaluru removed a large bulging growth on a 52-year-old woman’s head that was filled with “multiple nodules of varying sizes floating”, giving it an appearance of a “sack of marbles”. Doctors at the Sri Sathya Sai Institute of Higher Medical Sciences in Bengaluru explained the “uncommon” surgery in detail in the Radiology journal.
The woman told the doctors that swelling on her scalp was present since her childhood, but she never sought medical help until now. As per the journal, the woman has “a painless, gradually enlarging scalp swelling”, and upon examination, doctors found it was 15 centimeters long, 10 inches centimeters, and 12 centimeters tall mass in her parieto-occipital region.
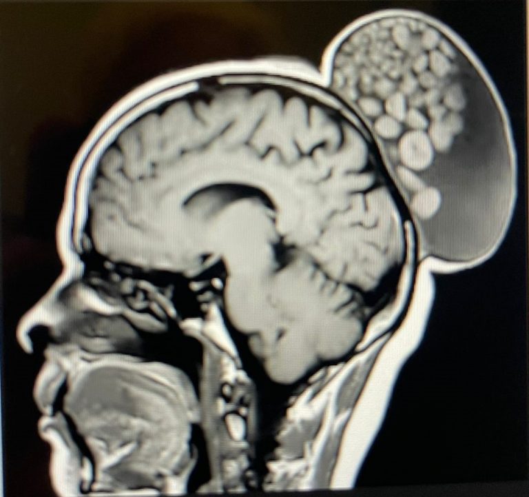
The woman’s scan showed a large cystic lesion at the backside of her scalp, which appeared like a hair bun on her head. Upon operating on the growth, doctors found it contained multiple nodules of varying sizes floating in the cyst, giving it a “sack of marbles” appearance,” the journal said. An MRI scan showed the cyst on the back of the woman’s head, like a fleshy made hair bun. Upon removing the growth, the medics noticed that the lesion was filled with “sebum-like material, hard spherules, and multiple strands of hair”.
“Histopathologic examination confirmed the diagnosis of a mature cystic teratoma, with elements from all three germ layers. There was no recurrence after six months of follow-up,” the journal said.
Mature Cystic Teratoma
Mature cystic teratomas is a benign tumor that is also called dermoid cyst. According to doctors, mature cystic teratomas are commonly found in the gonadal tissues and in the head and neck region. In the head, they have a predilection for the orbit and scalp.
Cystic teratomas are a type of germ cell tumor that may contain immature or fully formed tissue, including teeth, hair, bone, and muscle.
They may be cancerous or noncancerous, and affect people of all ages. They can be treated via surgery.
The “marbles” are spherical aggregates of keratin, fat, sebaceous material, fibrin, and hair floating within the fluid matrix of the cyst.
Though uncommon, the “sack of marbles” sign is considered pathognomonic of mature cystic teratomas in the head and neck, the journal said.














