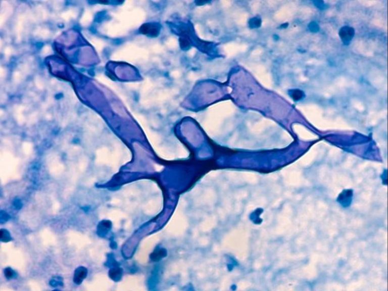
Bhubaneswar: Amid the rising black fungus (mucormycosis) cases, the Odisha government has decided to open dedicated wards at medical colleges and district headquarters hospital in the state for treating such COVID and non-COVID cases by next Friday.
The state has so far registered 38 black fungus cases. While four among them have succumbed to the disease, one has recovered. The rest are under treatment, official sources said.
Also Read: Patient Recovers From Black Fungus After Surgery At Bhubaneswar Hospital
According to a health department presentation before Chief Minister Naveen Patnaik, the non-availability of Amphotericin-B drugs has come in the way of treating patients afflicted with the disease. The state currently has 128 vials of the drug and has placed requisition for 5000 more.
Following the review meeting on the COVID situation, the CM had directed the officials to prepare for black fungus cases.
“A task force has been formed to monitor the cases and a treatment protocol communicated to hospital as per the recommendation of the experts,” said Additional Chief Secretary, Health, P K Mohapatra.
The symptoms of mucormycosis, a rare but dangerous fungal infection, include headache, fever, pain under the eyes, nasal or sinus congestion and partial loss of vision.
It has an overall mortality rate of 50 per cent and doctors attribute it to the possible use of steroids, a life-saving treatment for severe and critically ill COVID-19 patients.















